Problemas de cascos comunes en Costa Rica

Rebeca Villalobos Quesada


En Costa Rica, el clima húmedo y los terrenos irregulares representan un desafío constante para la salud podal de los équidos. Por ello, es fundamental prestar atención al cuidado preventivo y al diagnóstico temprano de enfermedades del casco. 

A continuación, se describen algunas de las patologías podales más frecuentes y recomendaciones para su prevención.


Laminitis

¿Qué es? 

La laminitis es una inflamación del tejido laminar del casco que ocasiona una disminución del flujo sanguíneo, generando dolor severo y, en algunos casos, la rotación o hundimiento de la falange distal (Pardié, Carzoli & Meikle, 2022).

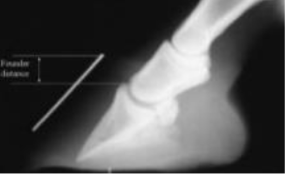
Descripción de la imagen: se evidencia una rotación de la tercera falange, el marcador colocado en la muralla dorsal no es paralelo a la cara dorsal de la falange.¿Cómo reconocerla? El equino adopta una postura característica, descargando peso sobre los miembros posteriores para aliviar el dolor de las manos. Se observa renquera, incremento de la temperatura en los cascos y sensibilidad a la palpación (Pardié et al., 2022)

Figura 1. Vista lateral radiográfica de casco (Navas Aparicio, 2024)


Figura 2. Posición característica de laminitis en equinos (Obando Mora, 2023)

¿Por qué sucede? Puede originarse por trastornos metabólicos como el síndrome metabólico equino, alimentación rica en carbohidratos, cólicos, o retención de placenta en yeguas (Francisco & Moreno Ávalos, 2014).

¿Cómo prevenirlo? Se recomienda una alimentación equilibrada con énfasis en el consumo de fibra antes del grano, fraccionar las raciones durante el día, realizar desparasitaciones periódicas y mantener el cuidado dental (Espinoza Macoy & Soto Arguello, 2017)


Abscesos en el casco.

¿Qué es? Son acumulaciones de pus dentro del casco causadas por infecciones bacterianas, generalmente debido a la entrada de cuerpos extraños o lesiones (Espinoza Macoy & Soto Arguello, 2017).

¿Cómo identificarlo? Se manifiesta con cojera repentina, aumento de la temperatura en el casco, inflamación en la zona de la corona o cuartilla y dolor a la presión. El diagnóstico debe ser confirmado por un médico veterinario (Moyano Morón, 2021).


¿Por qué sucede? Se originan por traumatismos, perforaciones con objetos como clavos, o presencia de cuerpos extraños que permiten la entrada de bacterias (Moyano Morón, 2021).

¿Cómo prevenirlo? Es fundamental realizar herrado profesional cada 6 a 8 semanas, acompañado de limpieza diaria de los cascos, prestando atención especial a la ranilla (Moyano Morón, 2021).

Figura 3. Casco con secreción fétida señalada por la flecha (Espinoza Macoy & Soto Arguello, 2017).


Enfermedad de la línea blanca

¿Qué es? Es una condición que afecta la unión entre la muralla del casco y las láminas sensibles, produciendo separación estructural, comúnmente en la pinza. Puede surgir como secuela de una laminitis (Moyano Morón, 2021).

¿Cómo identificarla? El caballo puede presentar cojera, dolor a la presión con pinza de casco, infección visible y separación evidente de la pared del casco (Hinojosa Cote, 2022).


Figura 4. Prueba de pinza en casco (Obando Mora, 2023)

¿Por qué sucede? Esta patología puede originarse por una laminitis previa, daños mecánicos, o infecciones por hongos y bacterias (Hinojosa Cote, 2022).

¿Cómo prevenirla? La higiene diaria es esencial. Los equinos deben mantenerse en áreas limpias y secas, con limpieza rutinaria de cascos y herraje adecuado (Hinojosa Cote, 2022).


Síndrome navicular

¿Qué es? Condición degenerativa y dolorosa que afecta los miembros delanteros de los équidos, especialmente en el hueso navicular y las estructuras que lo rodean generando lesiones en el ligamento suspensorio del navicular y daño en el tendón flexor profundo (Leonardo & Jose, 2016)

¿Cómo identificarlo? Podemos observar dolor y cojeras que mejoran con el descanso y se incrementan en cuando hay trabajo al igual que zancadas más cortas con tropiezos frecuentes. Para su diagnóstico se debe realizar un examen clínico, radiografías y bloqueos anestésicos por parte de un médico veterinario (Leonardo & Jose, 2016)


Figura 5. Aumento de volumen del bulbo derecho, talones cerrados y remetidos (Godoy Pinto, Acuña Bravo, & Farías Roldán, 2014)

¿Por qué sucede? Está relacionado a la conformación del caballo, los talones muy bajos o altos, cascos mal balanceados acompañado de herraje incorrecto. El entrenamiento intenso, trabajo sobre superficies duras o irregulares al igual que exceso de ejercicio en círculo (Leonardo & Jose, 2016)

¿Cómo prevenirlo? El herraje correcto es clave para la prevención, evitando que el eje podofalángico esté quebrado hacia atrás o adelante. Evitar entrenar o trabajar a los équidos en superficies duras y sin sobrecargas excesivas (Leonardo & Jose, 2016,


El cuidado de los cascos es clave para garantizar el bienestar, rendimiento y longevidad de los equinos, especialmente en condiciones donde la humedad y los terrenos irregulares aumentan el riesgo de enfermedades podales. Estas enfermedades pueden prevenirse con buenas prácticas de manejo, higiene constante, alimentación equilibrada y herraje profesional. Identificar los signos tempranos puede ayudar a una recuperación rápida y evitar complicaciones graves. 


Bibliografía

Espinoza Macoy, A. R., & Soto Arguello, D. A. (2017). Principales alteraciones y patologías podales en equinos, criados en caballeriza, en la comarca de Chiquilistagua, municipio de Ciudad Sandino, departamento de Managua diciembre 2016-marzo 2017 (Tesis de licenciatura). Universidad Nacional Agraria.

Francisco, C. D. J., & Moreno Ávalos, M. S. (2014). Laminitis en equinos.

Godoy Pinto, A., Acuña Bravo, M., & Farías Roldán, G. (2014). Aspectos clínicos, fisiopatológicos y de diagnóstico en el síndrome doloroso del talón en equinos.

Hinojosa Cote, K. Y. (2022). Principal patología que afecta el casco de los caballos de Colombia: Revisión de literatura.

Leonardo, G. U., & Jose, A. A. P. (2016). Estudio del síndrome del navicular mediante análisis radiológico en caballos carreteros de la ciudad de Bogotá DC-Colombia. Zoociencia, 3(1).

Moyano Morón, C. E. (2021). Frecuencia de principales patologías podales en equinos (Equus caballus) de servicio del departamento de policía montada en el Distrito de Chorrillos–2021.

Navas Aparicio, F. A. (2024). Etiologías de la laminitis y planes terapéuticos en equinos

Obando Mora, N. (2023). Síndrome metabólico equino y su relación con laminitis

Pardié, M., Carzoli, A., & Meikle, A. (2022). Síndrome metabólico equino y laminitis: estudio de caso. Veterinaria (Montevideo), 58(218).

Anterior
Anterior

¿Quiénes somos los responsables de garantizar el bienestar animal?

Siguiente
Siguiente

Uso de electrolitos en caballos de trabajo